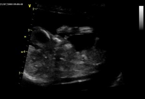
První dvě fotky jsou z 25.7., to byla maminka na začátku 14 týdne těhotenství. Tady jsem vidět ještě krásně, skoro celý, v levo hlavička a pak bříško a malá ručička. Na druhé fotce je jen detail mé hlavičky z profilu, jak si cucám paleček.


Tento detail hlavičky je už z 16.9. Nosánek prý mám po mamince, říkal pan doktor :o)

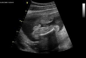
A tady podle té fotky poznali, že jsem chlapeček… to co je mírně vlevo od prostředka, to by měl být pindík a pod ním kousek nožičky, stehýnko a stehenní kost. Druhá nožička už není tolik vidět. Jestli to ještě někdo nevidí, tak jako další nápověda je, že jsem v poloze na zádech, mám hodně skrčené nožičky a vystrkuju zadeček…
Už to vidíte? Ale myslím, že bude nejlepší si počkat, až to uvidíte ve skutečnosti...

A to už je z poslední návštěvy z 1.12., kdy pan doktor prohlížel převážně jen mojí hlavičku. Už jsem hodně veliký, takže na jednu fotku už se vejde pouze ta hlava. Tady je pohled ze předu, levé očičko zavřené, nosánek a trochu pusinka, pravá strana hlavičky už není tolik vidět.
